Suốt 9 năm, những cơn đau nửa đầu bị cho là dấu hiệu của việc lo lắng quá mức hóa ra là dấu hiệu của một khối u não có kích thước rất lớn.
ảnh minh họa
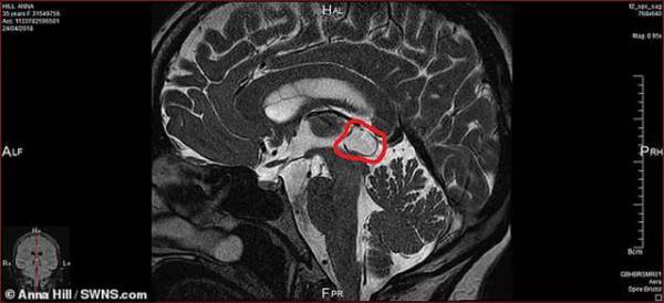
Anna Hill (35 tuổi) ở Bristol bắt đầu có dấu hiệu đau đầu khi mới 12 tuổi. Cô liên tục bị đau nửa đầu, buồn nôn và lúc nào cũng cảm thấy mệt mỏi kéo dài đến năm 26 tuổi.
Những cơn đau đầu nhiều người thường có xu hướng bỏ qua hoặc uống thuốc giảm đau. Thế nhưng cơn đau đầu dần trở nên nghiêm trọng vào những năm tuổi thiếu niên và đại học khiến cho Anna gặp rất nhiều khó khăn. Mặc dù cô đã sử dụng rất nhiều phương pháp điều trị để giảm bớt sự khó chịu và đau đớn, nhưng tình hình vẫn không được cải thiện.
Anna còn kể thêm : "Sau khi chuyển đến Bristol, tôi nghĩ rằng mình đã sẵn sàng cho công việc đầu tiên, không có gì có thể cản đường tôi. Thế nhưng vào sinh nhật lần thứ 26, tôi liên tục bị buồn nôn và đau nửa đầu".
Anna được giới thiệu đến rất nhiều chuyên gia và bác sĩ sau khi cô dần cảm thấy mắt mờ đi, ù tai, mệt mỏi cực độ trong năm 2015. Vào năm 2017, các triệu chứng ngày càng khiến cho cô cảm thấy không thể tiếp tục chịu đựng được nữa. Mặc dù các bác sĩ đã lắng nghe rất kỹ những gì cô nói, thế nhưng họ không biết phải làm gì. Không ai có thể cho cô biết điều gì đang xảy ra, các triệu chứng đều bị nói là do trạng thái lo lắng gây ra.

Vào đầu năm nay, Anna buộc phải tạm nghỉ công việc của mình. Cô quyết định khám tại một bệnh viện tư nhân, tại đây các bác sĩ đã làm các loại xét nghiệm não và phát hiện ra một khối u sâu 1.8 cm.
Vì khối u quá lớn và chỉ có những bệnh viện lớn cùng với các bác sĩ danh tiếng mới có thể phẫu thuật được. Do đó, Anna đã lập ra một trang quỹ của riêng mình để kêu gọi mọi người giúp đỡ. Cô cần phải có đủ 35.000 euro để làm các thủ tục tại một bệnh viện ở Đức.
Cũng như việc bị buộc phải từ bỏ công việc, Anna nói rằng cuộc sống của mình hoàn toàn bị xáo trộn và ảnh hưởng bởi khối u.
"Trong sáu tháng qua, tôi đã bỏ lỡ rất nhiều sự kiện quan trọng trong cuộc sống của những người thân yêu như đám cưới của chị tôi, đám cưới của bạn thân và vô số những người khác". Anna nói.
» Lý do không nên ăn thức ăn xong mới ăn cơm
» Nhồi máu cơ tim là gì? Cách sơ cứu khi gặp phải