12/9/18

Hơi thở bốc mùi, tiêu xương răng... bắt đầu từ chảy máu lợi

Ths.BS Nguyễn Anh Ngọc - 1 trong 2 thủ khoa ngành Nha khoa năm 2013 tại Đại học Tổng hợp Hamburg, Đức chia sẻ, nhiều người phàn nàn với bác sĩ thấy răng ngày càng dài, rồi buốt mà không hiểu vì sao. Trong khi đó, những dấu hiệu gặp hàng ngày, đơn giản nhất là chảy máu chân răng lại dễ bị bỏ qua.

 Chỉ bắt đầu từ chảy máu chân răng, nhiều người bị tiêu xương, mất răng sớm, hơi thở có mùi vì viêm nha chu mãn tính.
Chỉ bắt đầu từ chảy máu chân răng, nhiều người bị tiêu xương, mất răng sớm, hơi thở có mùi vì viêm nha chu mãn tính.

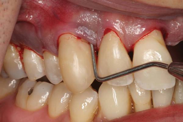
Những mối nguy tiềm tàng bắt đầu từ chảy máu chân răng

Theo BS Anh Ngọc, tình trạng viêm lợi, viêm nha chu, chảy máu chân răng của người Việt là rất phổ biến. Tuy nhiên, việc điều trị lại chưa được coi trọng, người bệnh vẫn chủ quan nên chỉ loanh quanh việc lấy cao răng, súc miệng nước muối, uống kháng sinh… nên viêm nha chu không được điều trị triệt để.

Trong khi đó, điều trị không dứt điểm, từ những dấu hiệu ban đầu là chảy máu chân răng, viêm lợi rồi gây nên tình trạng viêm nha chu không chỉ khiến bệnh nhân có hơi thở khó chịu dù đánh răng, súc miệng suốt ngày, mà còn gây tiêu xương hàm quanh chân răng và chuyển sang viêm nha chu mãn tính. "Đây chính là nguyên nhân gây ra mất răng sớm và rất nhiều người bị mất răng từ nguyên nhân này mà không để ý", BS Anh Ngọc cho biết.

Trong thực tế điều trị, BS Anh Ngọc gặp rất nhiều trường hợp viêm lợi đã chuyển sang viêm nha chu mãn tính. Lúc này, bệnh nhân gần như không có biểu hiện gì rõ ràng ra bên ngoài, nhưng thực tế xương răng vẫn âm thầm tụt theo thời gian. Đến khi răng yếu, lỏng lẻo bệnh nhân đến nha sĩ thì cũng đã quá muộn.

Nha chu là tổ chức xung quanh răng, chức năng chính là chống đỡ và giữ răng trong xương hàm. Răng khỏe mạnh được giữ trong xương hàm bởi xương ổ răng, dây chằng và nướu răng. Còn nha chu không khỏe, giống như một cái cây trồng vào đất không tốt tươi, răng sẽ dần bị ảnh hưởng.

Ở thời gian đầu, bệnh nhân chỉ có các biểu hiện cao răng đóng ở cổ răng, nướu sưng to, dễ chảy máu khi đánh răng nên mọi người càng ngại đánh răng khiến tình trạng viêm nướu càng trầm trọng.

Nếu điều trị ngay từ giai đoạn này rất đơn giản và mang lại hiệu quả cao. Còn khi đến giai đoạn nướu tự chảy máu, không động vào vẫn có hiện tượng chảy máu thêm hơi thở hôi, thậm chí có chảy mủ ở nướu răng, ăn nhai kém, răng lung lay… việc điều trị trở nên phức tạp và tốn kém nhưng kết quả mang lại không được hoàn hảo như ban đầu.

Là một BS tốt nghiệp tại Đức, làm việc một thời gian ở Đức, BS Anh Ngọc cho biết, theo đúng tiêu chuẩn Đức, điều trị viêm nha chu rất được coi trọng. Người bệnh rất ý thức khi có những dấu hiệu ban đầu chảy máu chân răng là đi khám nha khoa để được điều trị..

"Súc miệng nước muối, lấy cao răng, hay uống kháng sinh chỉ làm giảm nhẹ được triệu chứng thời điểm nhất định. Còn theo đúng tiêu chuẩn, bệnh nhân sẽ cần nạo nha chu, phẫu thuật nha chu với mục đích làm sạch dứt điểm", BS Anh Ngọc nói.

Quan trọng hơn sau bước làm sạch này, bệnh nhân phải vô cùng kiên nhẫn phối hợp với bác sĩ trong năm đầu tiên, theo lịch hẹn 3-4 tháng tái khám một lần. Sau một năm đầu không bị tái phát mới gọi là điều trị dứt điểm.

“Viêm nha chu thường bắt nguồn từ vệ sinh răng miệng không tốt gây gây cao răng dưới lợi, tạo những ổ viêm lợi. Từ đó tạo nên vòng tròn luẩn quẩn, đánh răng chảy máu nên bệnh nhân ngại đánh răng, mà ngại đánh lại càng viêm, cứ thế lặp lại khiến viêm nha chu càng ngày càng trầm trọng”, BS Anh Ngọc khuyến cáo.

Đánh răng 2 lần mỗi ngày

GS.TS Trịnh Đình Hải, Giám đốc Bệnh viện Răng Hàm Mặt Trung ương cũng khuyến cáo người dân không nên chủ quan với các bệnh lý răng miệng. Trên thực tế, có những trường hợp bệnh nhân rơi vào tình trạng nhiễm trùng huyết nguy kịch, bắt nguồn từ ổ viêm chân răng không được xử lý.Trên thực tế, có những bệnh nhân đến viện trong tình trạng ổ viêm răng rất nghiêm trọng, gây sốt cao. Có trường hợp nhiễm trùng máu từ ổ viêm chân răng không được xử lý.

Với những trường hợp này, bác sĩ sẽ phải chỉ định điều trị tình trạng viêm nhiễm đến khi ổn định là xử lý về chuyên môn nha khoa. Vì lúc này ổ viêm sẽ là một “ổ” vi khuẩn rất nguy hiểm nếu xâm nhập vào đường máu, gây nên tình trạng nhiễm khuẩn huyết.

GS.TS Trịnh Đình Hải khuyến cáo người dân vệ sinh răng miệng đúng cách, khám răng miệng định kỳ 6 tháng/lần để kịp thời phát hiện, xử lý các bệnh răng miệng ở giai đoạn sớm.

Tốt nhất mỗi người nên chải răng 2 lần một ngày, sử dụng các dụng cụ làm sạch các kẽ răng như chỉ nha khoa, đánh kỹ cả mặt trước, trong của răng… là điều cực kỳ quan trọng trong việc ngăn ngừa các vấn đề về răng miệng. Ngoài ra, mỗi tuần một lần bạn nên sử dụng nước flo để súc miệng, giúp giảm hiệu quả tỷ lệ răng bị sâu.

Khi có tình trạng sâu răng, viêm lợi, viêm chân răng, cao răng… cần đi khám để được xử lý sớm, đừng để đến lúc không bảo tồn được răng mới đến bệnh viện. Khi đó, răng thật mất, chi phí điều trị sẽ tăng cao, tốn kém cho người bệnh, ảnh hưởng đến sức khỏe răng miệng.

» Những thời điểm bạn nên cân nhắc thay đổi dầu gội
» Vệt đen trên cổ cảnh báo bệnh nguy hiểm, chớ nên coi thường