Gần đây, tờ "Qianjiang Evening News" đã công bố một báo cáo về cô gái tên Tiểu Trần ở Hàng Châu (TQ), 10 năm dùng phương pháp đánh răng không đúng, cuối cùng cô bị mòn răng tụt lợi vô cùng đau đớn.
Uống nhiều nước có ga, nước đá lạnh cũng là nguyên nhân dẫn đến răng bị mòn.
Tiểu Trần cho biết: "Khi sửa răng hồi 10 tuổi, tôi cố gắng làm theo lời khuyên của bác sĩ, thường xuyên đánh răng. Do đó, mỗi lần đánh răng tôi đều chải răng thật mạnh, chỉ cần ăn một thứ gì đó xong tôi cũng đánh răng, 3 phút không đủ thì đánh răng 5 phút. Khi soi gương, không nhìn thấy răng có vết bẩn, răng cũng không vàng, vô cùng sạch sẽ. Tôi rất tự hào rằng mình có một "đại pháp" chải răng để giữ gìn răng miệng.
Tuy nhiên, gần đây cô cảm thấy răng vô cùng nhạy cảm, khi ăn thứ gì ngọt lạnh chỉ có thể nuốt chứ không dám nhai, răng ê buốt và rất đau chân răng. Nhưng cô Trần cho rằng là vì mình chải răng chưa đủ sạch nên cao răng vẫn còn lưu lại.
Đến Nha khoa khám, vừa mới nằm xuống mở miệng để bác sĩ khám, cô đã bị mắng cho một trận: "Bạn còn nghi ngờ răng không đủ sạch sao? Răng đều đã bị bạn chải sạch rồi, chân răng đều mòn hết rồi.”

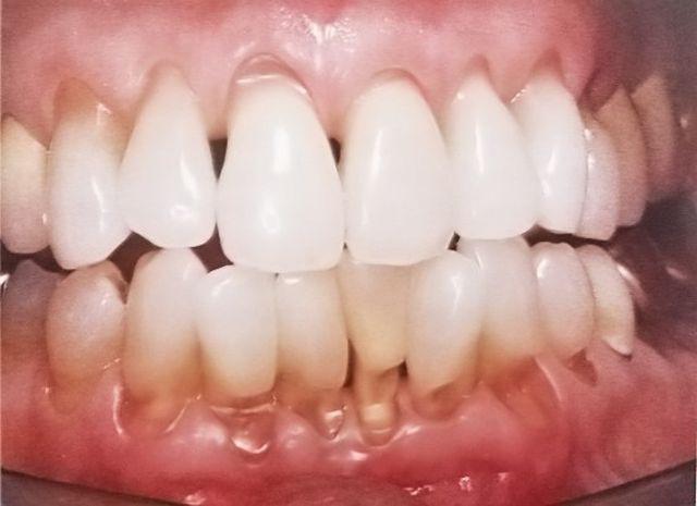
Răng của Tiểu Trần đã bị mòn và tụt lợi rất nguy hiểm (Ảnh minh họa)
Được biết, sau khi sửa răng từ tuổi thiếu niên, Tiểu Trần đã nuôi dưỡng thói quen “thường xuyên đánh răng và chải răng rất mạnh”. Mỗi ngày đều đặn 2 lần, mỗi lần chải trong vòng 5 phút, 10 năm qua cô rất nỗ lực để bảo vệ hàm răng nhưng cuối cùng lại bị chải đến mòn cả chân răng.
Theo bạn bè của Tiểu Trần nói, mỗi lần đánh răng cô phải chải ít nhất 200 lần, còn tự mình đếm. Khi đó bạn bè vô cùng ghen tị với hàm răng trắng của cô, cảm thấy bản thân chải răng không được sạch và lâu như Tiểu Trần.
Tại sao việc đánh răng của Tiểu Trần lại gây ra những tổn thương cho răng?
Phó khoa Điều trị nội nha Bệnh viện Răng Hàm Mặt của Trường Đại học Y khoa Chiết Giang, bác sĩ Đặng Thục Li nói: "Trong y học, bệnh như vậy được gọi là “khiếm khuyết hình nêm”, rất bình thường, mỗi ngày chúng ta đều có thể gặp những bệnh nhân như vậy”. Bệnh nhân chủ yếu có 2 loại hình: Một là giống như Tiểu Trần nỗ lực chải răng, có thể phương thức chải răng sai, lực chải răng quá mạnh, khiến răng bị vỡ; loại còn lại là do uống nhiều loại nước ngọt, nước có ga thay nước lọc, không bảo vệ răng tốt."

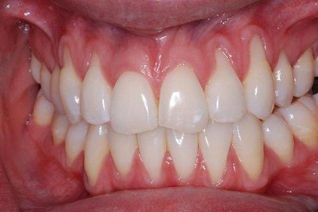
Nhìn bề ngoài có thể thấy răng sạch, trắng, nhưng men răng đã bị ăn mòn khiến răng càng ngày càng bị yếu
Mặc dù cảm giác đánh răng lâu khiến bạn thấy răng trắng, nhưng thực tế có thể làm mòn men răng. Men răng là chất cứng nhất của cơ thể, có 99,9% hàm lượng canxi, độ cứng như kim cương. Tuy nhiên, bác sĩ Đặng Thục Li nói có thể bộ phận cứng cáp này của Tiểu Trần cũng không thể chịu đựng được sự phá hủy của nước trong 10 năm trời.
Sau khi men răng chải xong, lớp ngà răng bị phơi ra, đây là lớp bảo vệ răng thứ hai, hàm lượng canxi là 75%, độ cứng men răng không cao, đương nhiên chống không nổi phương thức đánh răng sai lầm. Khi lớp ngà của răng cũng bị chải đi, bộ phận chân răng đều bị lộ ra. Đây chính là lý do làm cho hàm răng của Tiểu Trần bị mẫn cảm, ăn thực phẩm ngọt lạnh chỉ có thể nuốt, rất khó nhai vì đau răng.
Những người trẻ hay gặp vấn đề này bởi sở thích uống nước ngọt, nước có ga, trà sữa, nước đá lạnh,… Nguyên nhân là do trong những loại đồ uống này có tính axit, canxi trong men răng và trong ngà răng sẽ phát sinh phản ứng, theo thời gian, lượng canxi trong răng dần mất đi. Ngoài ra, người thường xuyên ăn chua cũng dễ phát sinh triệu chứng tương tự.
Bác sĩ Đặng Thục Li cho biết bệnh nhân bị bệnh bị mòn răng tụt lợi, thường là những người già, trung niên, đặc biệt phụ nữ bị nhiều hơn nam giới, có thể là phụ nữ chú ý đánh răng hơn so với nam giới, mặc dù nam giới chải răng với lực lớn, nhưng thời gian chải răng không quá lâu.
Vậy chải răng như thế nào mới bảo vệ được hàm răng tốt nhất?

Phương pháp Bass là phương pháp đánh răng hiệu quả.
Bác sĩ Đặng Thục Li giới thiệu phương pháp đánh răng Bass, một phương pháp được Hiệp hội Nha khoa Hoa Kỳ khuyến cáo để loại bỏ mảng bám hiệu quả trong vùng lân cận của lề nướu và trong vùng nướu. Phương pháp này thực sự không khó và cần lựa chọn bàn chải đánh răng mềm mại.
Đối với mặt ngoài, mặt trong của răng
Bước 1: Lông bàn chải nghiêng 45 độ về phía nướu răng, chải với động tác rung nhẹ tại chỗ nhiều lần (để lông bàn chải len sâu vào kẽ răng, massage nướu tiết dịch nướu).
Bước 2: Xoay bàn chải để lông bàn chải chạy dọc theo chiều của răng (chiều trên dưới - tuyệt đối không theo chiều ngang) mỗi vùng lặp lại từ 6-10 lần.

Đối với mặt nhai của răng: Chải theo động tác tới lui ngắn.
Chú ý: Không chải răng quá mạnh. Vì cách này không chỉ không làm sạch được răng mà còn làm răng nhanh hỏng, và bản chải mau hư.
Bàn chải đánh răng dùng tối đa trong vòng 3 tháng, nếu trong 3 tháng bàn chải đã hỏng thì cần phải xem xét, có khả năng đánh răng quá mạnh.
Đánh răng đúng cách theo phương pháp Bass cải tiến, bạn gần như đạt đến 90% yêu cầu của vệ sinh răng miệng.
» 7 mẹo giảm nguy cơ ung thư đơn giản 99% chị em không biết
» Những thực phẩm nên dùng ở độ tuổi 20 và 30