25/4/17

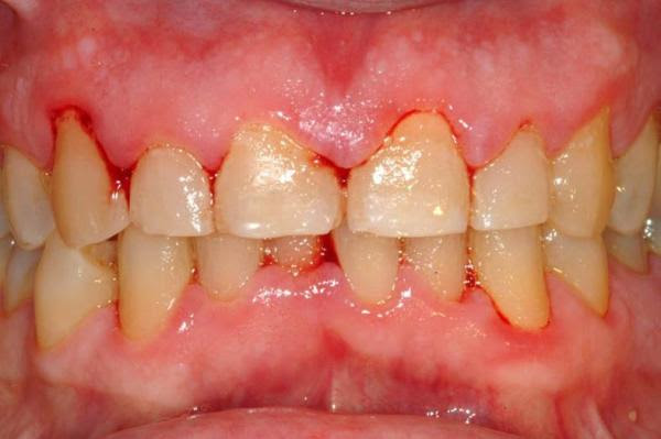
Chảy máu chân răng, mất ít máu nhưng không được xem nhẹ

Tuy chỉ mất chút xíu máu nhưng bạn không được xem nhẹ vì đằng sau đó có thể là các vấn đề răng miệng như: viêm quanh răng, viêm lợi, sâu răng… thậm chí có thể nghiêm trọng hơn.


Chảy máu chân răng, mất ít máu nhưng không được xem nhẹ
ảnh minh họa

Người xưa có câu: “Cái răng cái tóc là góc con người”, một hàm răng sáng bóng, chắc khỏe không chỉ là thẩm mỹ mà còn liên quan trực tiếp đến sức khỏe của cơ thể. Răng là bộ phận đầu tiên giúp tiêu hóa thức ăn, các bệnh lý răng miệng thường do các vi khuẩn sống trên thân răng gây ra. Sau khi ăn nhai, phần thức ăn còn sót lại sẽ dần hình thành mảng bám cao răng và đây là môi trường lý tưởng cho vi khuẩn phát triển. Chúng tấn công vào các mô răng khỏe mạnh tạo nên các lỗ sâu dưới tác dụng của axit hoặc thải ra các độc tố gây nên tình trạng viêm nhiễm phần nướu, chân răng hoặc các tổ chức xung quanh răng.

Ngoài ra, khi cơ thể thiếu một vài yếu tố tham gia vào quá trình đông máu như vitamin K, thiếu can xi… cũng sẽ gây nên hiện tượng chảy máu chân răng.

Cần tây nhiều vitamin K (Ảnh: Internet)

Một số bệnh về gan, do gan tham gia vào quá trình tổng hợp chất đông máu từ vitamin K cũng được biểu hiện dưới dạng chảy máu chân răng.

Hay chảy máu chân răng không phải là một bệnh lý đơn giản bởi nếu không điều trị kịp thời có thể gây nên những tổn thương lợi, hủy hoại xương ổ răng, xương răng, gây đau nhức, dẫn tới mất răng…

Dưới đây là một số bệnh mà bạn cần lưu ý khi thấy có tình trạng chảy máu chân răng thường xuyên:

1. Viêm lợi

Nguyên nhân chủ yếu gây viêm lợi là do vệ sinh răng miệng kém, tạo điều kiện cho các mảng bám, cao răng hình thành. Các mảng bám và cao răng ở lại trên răng gây kích thích lên lợi, chân răng. Theo thời gian, lợi trở nên sưng và chảy máu một cách dễ dàng.

2. Viêm nha chu

Đây là giai đoạn nặng của bệnh viêm lợi, thường xảy ra ở tuổi trung niên. Bệnh tiến triển âm thầm với dấu hiệu dễ nhận thấy nhất là chảy máu chân răng. Ở giai đoạn nặng xuất hiện vôi đóng xung quanh chân răng, răng lung lay…

Các bệnh răng miệng (Ảnh: Internet)

2. Áp xe chân răng

Áp xe răng là ổ mủ gây ra do nhiễm trùng bởi vi khuẩn ở phần trong của răng. Áp xe chân răng thường xảy ra như là kết quả của viêm hốc răng không được điều trị, hoặc răng bị thủng, vỡ cho phép vi khuẩn tấn công vào sâu bên trong. Khi răng lợi liên tục đau nhói, chân răng chảy nhiều máu, người lên cơn sốt, sưng tấy vùng mặt là khi các túi áp xe trở nên trầm trọng.

3. Tiêu xương chân răng

Tiêu xương chân răng là sự suy giảm của xương ổ răng và xung quanh chân răng về mật độ, chiều cao, số lượng và thể tích xương. Tiêu xương chân răng sẽ dẫn đến đồng thời khá nhiều vấn đề răng miệng cũng như thẩm mỹ của khuôn mặt như tụt nướu, răng xô lệch, nghiêng vẹo, tiêu xương hàm, móm và khuôn mặt già đi nhiều hơn so với tuổi.

4. Răng lung lay, gãy rụng

Răng bị lung lay đa phần có nguyên nhân do bệnh lý về nướu mà cụ thể là viêm nướu và viêm nha chu. Khi phần nướu bị viêm nhiễm nặng do hình thành các túi mủ sát chân răng thì sẽ có xu hướng tách ra khỏi răng, không ôm sát chân răng nữa, chân răng như có xu hướng dài ra. Kèm theo đó là hiện tượng tiêu xương có thể xảy ra, lâu ngày có thể dẫn đến gãy rụng răng.

Cách xử lý khi bị chảy máu chân răng

Khám răng định kỳ (Ảnh: Internet)

Bạn nên khám răng miệng định kỳ (6 tháng/lần) để được bác sĩ kiểm tra và vệ sinh răng miệng cho bạn cũng như chẩn đoán và điều trị các nguyên nhân khác.

Bên cạnh đó, bạn có thể súc miệng thêm nước muối sinh lý hoặc các nước súc miệng trị viêm nướu, bổ sung thêm Vitamin C để nướu được khỏe mạnh hơn.

Về vấn đề vệ sinh răng miệng hàng ngày, bạn nên chải răng ngay sau bữa ăn (trong khoảng 1 tiếng sau ăn), nên chọn loại bàn chải có phần lông thật mềm và chải răng nhẹ nhàng để tránh làm tổn thương nướu cũng như gây mòn răng. Đồng thời, hãy kết hợp sử dụng chỉ nha khoa để làm sạch vùng kẽ răng thay vì dùng tăm và đừng quên lưu ý đến việc tăng cường các thực phẩm giàu canxi, các vitamin đặc biệt là vitamin K.