23/11/18

Kỳ lạ: Người phụ nữ ‘có kén’ trong phế quản

Bệnh viện Trung ương Quân đội 108 vừa cấp cứu thành công một bệnh nhân bị kén phế quản khá hiếm.

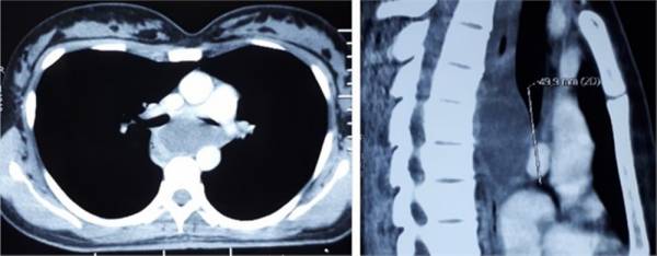
Phim chụp CT của bệnh nhân. (Ảnh: Bệnh viện cung cấp)
Phim chụp CT của bệnh nhân. (Ảnh: Bệnh viện cung cấp)

Bệnh nhân là chị V.T.Y. (31 tuổi). Cách đây 3 tháng chị có biểu hiện nuốt nghẹn, không ho, không sốt và không gầy sút cân, gần đây xuất hiện thêm biểu hiện khó thở khi vận động.

Chị Y. đã đi khám tại Bệnh viện Bạch Mai được chẩn đoán u trung thất đè đẩy thực quản, khí quản. Sau đó, bệnh nhân được chuyển lên Bệnh viện Trung ương Quân đội 108 để phẫu thuật.

Qua khai thác tiền sử, các bác sĩ không phát hiện bệnh nhân mắc bệnh lý về phổi, trung thất, hạch hay các bệnh liên quan khác. Hơn nữa, trong gia đình cũng chưa ai ghi nhận mắc các bệnh trên.

Tại Bệnh viện Trung ương Quân đội 108, kết quả khám lâm sàng cho thấy, mạch bệnh nhân 86 chu kỳ/phút, nhiệt độ 36 độ C, huyết áp 105/70mmHg, SpO2: 98%. Thể trạng bệnh nhân gầy, da niêm mạc bình thường, hạch cổ khó xác định trên lâm sàng, lồng ngực đều, rì rào phế nang hai phổi giảm.

Ngoài ra, trong quá trình nội soi ống tiêu hóa, nội soi phế quản cũng phát hiện hình ảnh từ ngoài đè vào thực quản, hẹp nhẹ lòng phế quản đoạn sát carina do đè ép từ ngoài. CT scan ngực có hình ảnh khối bệnh lý trung thất, bờ đều rõ, kích thước 29 x 53mm, đậm độ 22HU, ngấm thuốc kém.

Tổn thương đề đẩy lệch thực quản ra sau và sang phải, đẩy khí quản và phế quản gốc hai bên ra trước và gây hẹp phế quản gốc; không thấy rõ ranh giới với thành thực quản.

Bệnh nhân được chỉ định phẫu thuật cắt kén phế quản bằng đường mở ngực sau bên trái dài 8cm, dưới gây mê nội khí quản Carlen xẹp phổi bên trái. Phẫu tích kén phế quản ra khỏi phế quản gốc trái động mạch chủ, động mạch phổi trái và thực quản.

Thông tin về ca bệnh, TS. BS Ngô Vi Hải - Trưởng Khoa Phẫu thuật Lồng ngực - Bệnh viện Trung ương Quân đội 108 cho biết, kén phế quản là một tổn thương bẩm sinh hình thành trong quá trình phát triển của bào thai, có thể xuất hiện tại bất kỳ điểm nào dọc theo đường khí - phế quản và thường nằm trong trung thất hoặc nhu mô phổi.

“Kén phế quản chiếm 10% khối trong trung thất và thường ở nam. Triệu chứng lâm sàng thường đa dạng và phụ thuộc vào vị trí, kích thước của tổn thương và tuổi của bệnh nhân. Phẫu thuật là lựa chọn hàng đầu và tối ưu đối với tổn thương này.

Rất may mắn, sau phẫu thuật, kén được cắt bỏ hoàn toàn, bệnh nhân được đưa về phòng bệnh hậu phẫu, dẫn lưu được rút sau 48 giờ. Giải phẫu bệnh lý cho thấy tổ chức kén lành tính và bệnh nhân được ra viện sau 7 ngày”, BS Hải nói.

» Bệnh viện Sóc Trăng đã có Phòng thông tim can thiệp
» Từ 1 vết phỏng nước, bé 9 tuổi mắc bệnh truyền nhiễm hiếm gặp